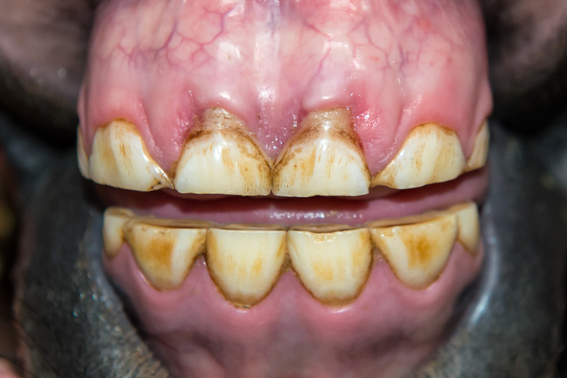
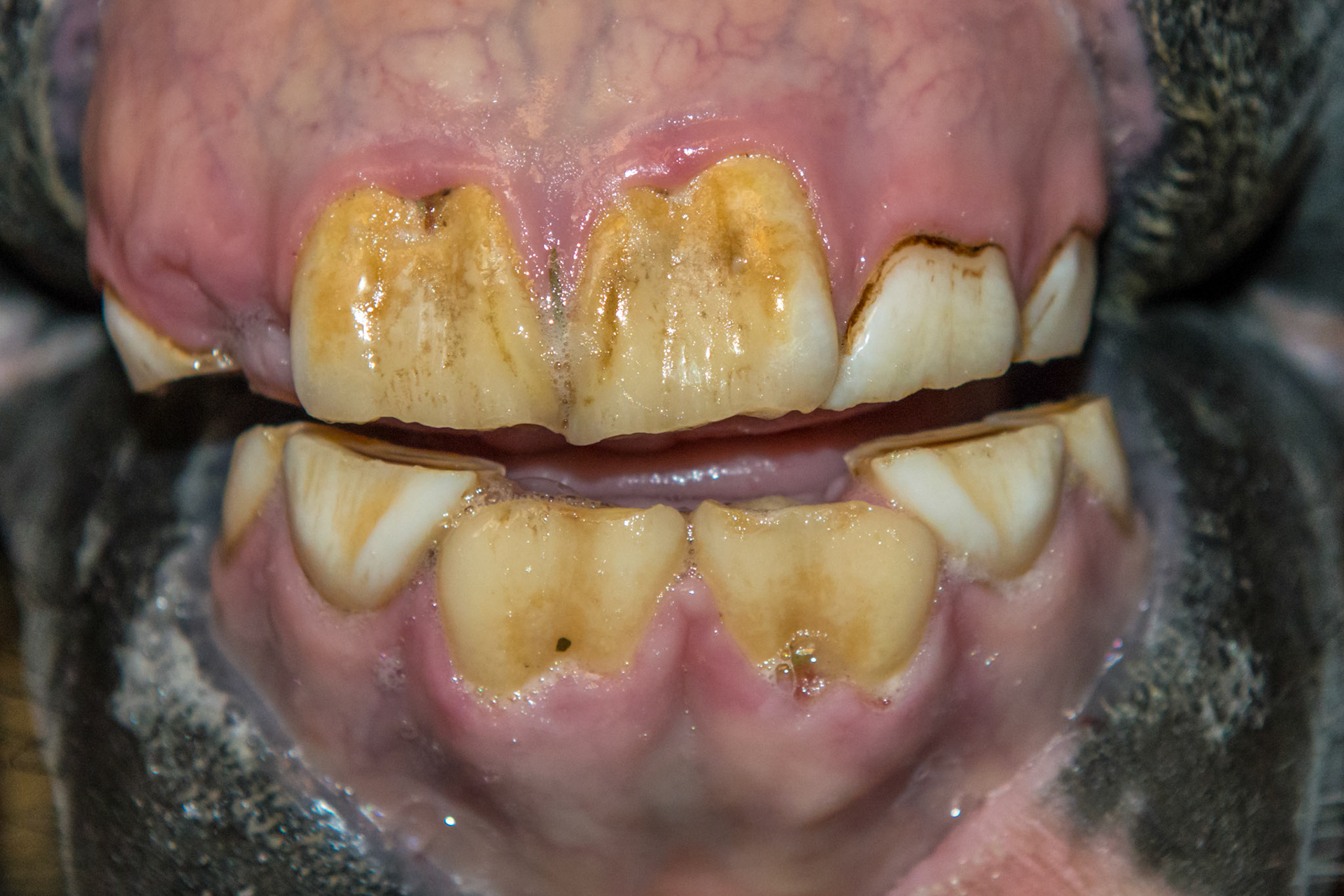
These images are arranged chronologically (younger to older): one age per row. Each row is in order: left side, right side, straight on, and lower occlusal surface. Scroll down and up, looking at only one column, to compare each view in time.
TO RETURN TO THE COMMUNITY APP, RETURN TO THE APP IN YOUR DEVICE.
2yr old
2yr old
2yr old
2yr old
2yr old
2yr old
2yr old
2yr old
2yr 7mo
2yr 7mo
2yr 7mo
2yr 7mo
2yr 7mo
2yr 7mo
2yr 7mo
2yr 7mo
2yr 7mo
2yr 7mo
2yr 7mo
2yr 7mo
2yr 7mo
2yr 7mo
2yr 7mo
2yr 7mo
2yr 8mo
2yr 8mo
2yr 8mo
2yr 8mo
2yr 8mo
2yr 8mo
2yr 8mo
2yr 8mo
2yr 9mo
2yr 9mo
2yr 9mo
2yr 9mo
2yr 9mo
2yr 9mo
2yr 9mo
2yr 9mo
3yr old
3yr old
3yr old
3yr old
3yr old
3yr old
3yr old
3yr old
3yr old
3yr old
3yr old
3yr old
3yr old
3yr old
3yr old
3yr old
3yr 3mo
3yr 3mo
3yr 3mo
3yr 3mo
3yr 3mo
3yr 3mo
3yr 3mo
3yr 3mo
3yr 7mo
3yr 7mo
3yr 7mo
3yr 7mo
3yr 7mo
3yr 7mo
3yr 7mo
3yr 7mo
3yr 7mo
3yr 7mo
3yr 7mo
3yr 7mo
3yr 7mo
3yr 7mo
3yr 7mo
3yr 7mo
3yr 8mo
3yr 8mo
3yr 8mo
3yr 8mo
3yr 8mo
3yr 8mo
3yr 8mo
3yr 8mo
3yr 9mo
3yr 9mo
3yr 9mo
3yr 9mo
3yr 9mo
3yr 9mo
3yr 9mo
3yr 9mo
3yr 10mo
3yr 10mo
3yr 10mo
3yr 10mo
3yr 10mo
3yr 10mo
3yr 10mo
3yr 10mo
4yr old
4yr old
4yr old
4yr old
4yr old
4yr old
4yr old
4yr old
4yr old
4yr old
4yr old
4yr old
4yr old
4yr old
4yr old
4yr old
4yr 2mo
4yr 2mo
4yr 2mo
4yr 2mo
4yr 2mo
4yr 2mo
4yr 2mo
4yr 2mo
4yr 2mo
4yr 2mo
4yr 2mo
4yr 2mo
4yr 2mo
4yr 2mo
4yr 2mo
4yr 2mo
4yr 2mo
4yr 2mo
4yr 2mo
4yr 2mo
4yr 2mo
4yr 2mo
4yr 2mo
4yr 2mo
4yr 3mo
4yr 3mo
4yr 3mo
4yr 3mo
4yr 3mo
4yr 3mo
4yr 3mo
4yr 3mo
4yr 5mo
4yr 5mo
4yr 5mo
4yr 5mo
4yr 5mo
4yr 5mo
4yr 5mo
4yr 5mo
4yr 5mo
4yr 5mo
4yr 5mo
4yr 5mo
4yr 5mo
4yr 5mo
4yr 5mo
4yr 5mo
4yr 10mo
4yr 10mo
4yr 10mo
4yr 10mo
4yr 10mo
4yr 10mo
4yr 10mo
4yr 10mo
5yr old
5yr old
5yr old
5yr old
5yr old
5yr old
5yr old
5yr old
5yr old
5yr old
5yr old
5yr old
5yr old
5yr old
5yr old
5yr old
5yr 1mo
5yr 1mo
5yr 1mo
5yr 1mo
5yr 1mo
5yr 1mo
5yr 1mo
5yr 1mo
5yr 3mo
5yr 3mo
5yr 3mo
5yr 3mo
5yr 3mo
5yr 3mo
5yr 3mo
5yr 3mo
5yr 3mo
5yr 3mo
5yr 3mo
5yr 3mo
5yr 3mo
5yr 3mo
5yr 3mo
5yr 3mo
5yr 4mo
5yr 4mo
5yr 4mo
5yr 4mo
5yr 4mo
5yr 4mo
5yr 4mo
5yr 4mo
5yr 4mo
5yr 4mo
5yr 4mo
5yr 4mo
5yr 4mo
5yr 4mo
5yr 4mo
5yr 4mo
5yr 6mo
5yr 6mo
5yr 6mo
5yr 6mo
5yr 6mo
5yr 6mo
5yr 6mo
5yr 6mo
5yr 9mo
5yr 9mo
5yr 9mo
5yr 9mo
5yr 9mo
5yr 9mo
5yr 9mo
5yr 9mo
Back to Top